
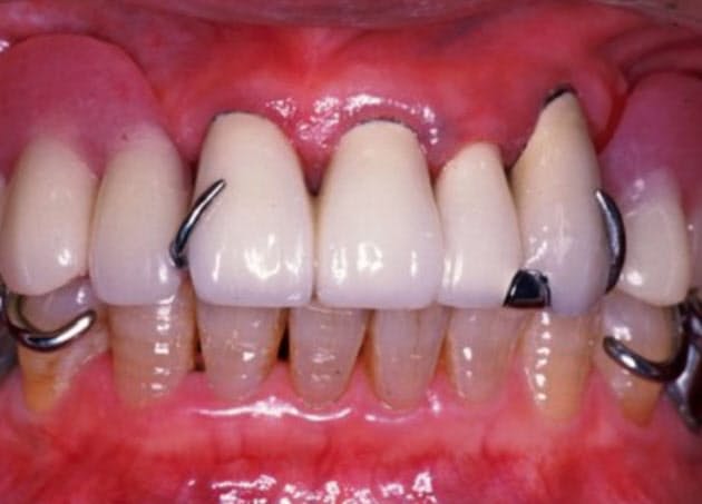
歯周病や虫歯、事故などで歯を失い、入れ歯を使用する人は少なくない。単に失った歯を代替するだけではなく、口内を健康に保ってフレイル(虚弱)と呼ばれる心身が衰えた状態や糖尿病などの予防などにもつながる。入れ歯の使い方に加えて、使用前の食習慣の見直しなども大切だ。
「歯が一本でもなくなったら、入れ歯やインプラントを作った方がいい」。東京医科歯科大学の水口俊介教授は話す。抜けたまま放置しておくと歯が動い…
電子版の記事が今なら2カ月無料
この記事は会員限定です。電子版に登録すると続きをお読みいただけます。
"健康" - Google ニュース
March 25, 2020 at 01:30PM
https://ift.tt/2vSpj16
入れ歯、正しく使い健康に - 日本経済新聞
"健康" - Google ニュース
https://ift.tt/2KsOhIe
Shoes Man Tutorial
Pos News Update
Meme Update
Korean Entertainment News
Japan News Update
No comments:
Post a Comment